Введение
Современная стоматология предлагает множество способов сделать улыбку красивой и естественной. Одним из самых популярных решений стали виниры — тонкие накладки на зубы, которые позволяют скорректировать их форму, цвет и внешний вид. Процедура установки виниров сегодня стала доступнее и безопаснее, а результат — максимально естественным. Это не просто эстетика, а способ улучшить уверенность в себе и качество жизни.
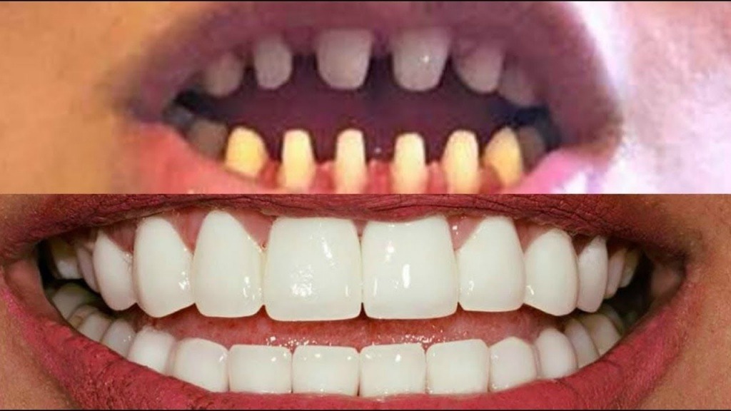
Что такое виниры и как они работают
Виниры представляют собой тонкие пластины, чаще всего из керамики или композитных материалов, которые приклеиваются к передней поверхности зубов. Они создают эффект идеально ровного и белого ряда. Толщина таких накладок обычно не превышает 0,5 мм, но при этом они очень прочные и долговечные.
В стоматологии в Анапе evrodent1.ru предварительно подготавливают зубы, снимают небольшой слой эмали, делают слепки и устанавливают индивидуально изготовленные накладки. Современные технологии позволяют проводить процедуру практически безболезненно.
Основные преимущества установки виниров
-
Эстетическое совершенство.
Виниры помогают скорректировать сколы, трещины, неровности, пятна и потемнения эмали. Улыбка становится гармоничной и ухоженной. -
Долговечность.
Качественные керамические виниры служат 10–15 лет, а иногда и дольше при правильном уходе. -
Минимальное вмешательство.
В отличие от коронок, виниры не требуют сильного обтачивания зубов, сохраняя большую часть естественной ткани. -
Устойчивость к окрашиванию.
Керамика не впитывает пигменты от кофе, вина и табака, поэтому улыбка долго остаётся белоснежной. -
Укрепление зубов.
Винир создаёт дополнительный защитный слой, который помогает предотвратить истирание эмали.
Когда стоит поставить виниры
-
при наличии щелей между зубами;
-
при сколах или трещинах;
-
при неравномерной форме зубов;
-
при потемнении эмали, не поддающемся отбеливанию;
-
при эстетическом дискомфорте от улыбки.
Процедура подходит большинству пациентов, однако окончательное решение принимает стоматолог после осмотра и диагностики.
Интересные факты
-
Первые виниры появились в Голливуде в 30-х годах XX века: актёрам их приклеивали перед съёмками для создания «идеальной улыбки».
-
Современные виниры изготавливаются из ультратонкой керамики — их толщина сопоставима с контактной линзой.
-
Некоторые стоматологические клиники используют цифровое моделирование: пациент может увидеть, как будет выглядеть его улыбка ещё до начала процедуры.
-
Керамические виниры обладают светопроницаемостью, благодаря чему выглядят естественно и неотличимы от настоящих зубов.
Заключение
Постановка виниров — это безопасный и эффективный способ добиться идеальной улыбки без сложных операций и длительного лечения. Они не только улучшают внешний вид зубов, но и защищают их от повреждений, повышая уверенность человека в себе. Современные технологии делают установку виниров комфортной, а результат — естественным и долговечным. Это одно из лучших решений для тех, кто хочет улыбаться с удовольствием каждый день.






